Цифровая субтракционная ангиография (ДСА) — это высокотехнологичный метод исследования кровеносных сосудов, который позволяет получить максимально точное и детальное изображение артерий и вен в режиме реального времени.
В отличие от УЗИ, МРТ или КТ ангиография, ДСА является «золотым стандартом» в диагностике сосудистых патологий, так как позволяет врачу нейрохирургу увидеть весь процесс кровотока и выявить даже самые мелкие изменения, которые другие методы могут не обнаружить, включая опасное сужение сосудов.

Как проводится исследование?
Процедура проводится в стерильных условиях и обычно занимает от 30 до 60 минут.
- Доступ к сосуду. Врач-рентгенохирург под местной анестезией делает небольшой прокол, чаще всего в бедренной или лучевой артерии.
- Введение катетера. Через прокол вводится тонкий и гибкий катетер. Под контролем рентгеновской установки, которая дает постоянное изображение на мониторе, катетер осторожно продвигается к исследуемому участку сосудистой системы — например, к сосудам головного мозга, шеи или сердца.
- Контрастное вещество. Через катетер вводится специальное контрастное вещество. Оно делает кровеносные сосуды четко видимыми на рентгеновских снимках.
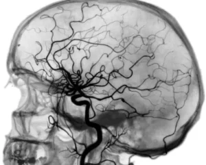
- Съемка. Рентгеновский аппарат делает серию снимков, на которых видно, как именно контрастное вещество проходит по сосудам. Специальная компьютерная программа «вычитает» (субтрагирует) все лишние структуры, такие как кости и мягкие ткани, оставляя на изображении только сосудистую сеть.
Когда назначается ДСА?
ДСА назначает врач, если есть подозрение на серьезные патологии или когда другие методы диагностики не дали полной картины. Чаще всего этот метод необходим при:
- Стенозе и тромбозе (сужении и закупорке) артерий, питающих головной мозг. ДСА позволяет с высокой точностью оценить степень сужения и его местоположение, что критически важно для выбора тактики лечения.
- Аневризмах (патологических расширениях стенок сосудов) и сосудистых мальформациях (врожденных аномалиях развития сосудов).
- Опухолях с обильным кровоснабжением, для оценки их структуры.
Также ДСА является обязательным этапом подготовки к таким сложным процедурам, как нейрохирургические операции по клипированию аневризм или удалению опухолей.

Преимущества и возможности ДСА
Главное преимущество ДСА — это его высочайшая точность, которая позволяет врачу поставить безошибочный диагноз. Более того, процедура может быть не только диагностической, но и лечебной. Прямо во время исследования нейрохирург может провести малоинвазивное вмешательство, например:
- Стентирование: установка стента для расширения суженного сосуда.
- Эмболизацию: заполнение аневризмы или мальформации специальным веществом для предотвращения разрыва.
Это позволяет решить проблему за одну процедуру, минимизируя риски. Именно поэтому процедура проводится в специализированной клиника нейрохирургии, где есть всё необходимое оборудование и высококвалифицированные специалисты.
Важная информация для пациента
Процедура ДСА считается безопасной, но, как и любое инвазивное вмешательство, имеет свои риски. Возможны временные побочные эффекты, такие как гематома в месте прокола или аллергическая реакция на контрастное вещество. Чтобы минимизировать риски, перед процедурой врач проведет полный осмотр и сообщит вам о необходимых мерах предосторожности.
Автор: врач-нейрохирург Наби Абдуллаев Кулдашович
