В нашей клинике мы успешно провели сложную нейрохирургическую операцию по удалению двух интрадуральных опухолей позвоночника у 80-летней пациентки. Этот случай наглядно демонстрирует, как своевременное решение и передовые технологии позволяют восстановить качество жизни даже в самых непростых ситуациях.
История пациентки: когда консервативное лечение не помогло
В нашу клинику нейрохирургии обратилась пациентка с выраженными неврологическими нарушениями: слабостью в ногах, онемением, потерей равновесия и полной неспособностью к самостоятельной ходьбе. Несмотря на сохранённые активные движения в нижних конечностях, женщина нуждалась в помощи даже при вставании с постели. Эти симптомы прогрессировали в течение нескольких лет.


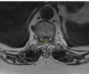
Проведённая МРТ грудного отдела позвоночника выявила две интрадуральные экстрамедуллярные опухоли, вызывающие критическую компрессию спинного мозга. Эти образования были диагностированы за 2–3 года до обращения. Однако, пациентка отказывалась от операции из-за страха, возраста и избыточного веса.
Всё это время проводилось консервативное лечение позвоночника — медикаменты, физиотерапия, курсы реабилитации. К сожалению, консервативные методы не смогли остановить развитие заболевания. С течением времени её состояние ухудшалось.
Прогрессирование симптомов включало:
- Стойкую мышечную слабость в нижних конечностях;
- Нарушение чувствительности и координации;
- Недержание мочи и кала;
- Полную потерю способности к самостоятельному передвижению.
Современная спинальная хирургия: ключ к успеху
Учитывая возраст пациентки, общую соматическую нагрузку, прогрессирующую неврологическую симптоматику и необходимость срочно устранить компрессию спинного мозга, было принято решение о симультанном (одновременном) удалении обеих опухолей. Это решение позволило сократить время нахождения пациентки под наркозом и минимизировать риски. В таких случаях, когда дорога каждая минута, на помощь приходит спинальная хирургия с использованием современных технологий.
Операция была выполнена двумя командами нейрохирургов онкологов, работающих синхронно через разные хирургические доступы. Мы применили микрохирургическую технику, интраоперационный нейромониторинг и современное анестезиологическое обеспечение. Эти технологии позволили провести вмешательство максимально безопасно, сократить его длительность и уменьшить общую нагрузку на организм пациентки.


Важность выбора клиники и специалиста
Почему этот клинический случай важен:
- Интрадуральные опухоли, даже доброкачественного характера, могут вызывать тяжёлые последствия при сдавлении структур спинного мозга;
- У пациентов пожилого возраста критично важен фактор времени — откладывание хирургического вмешательства может привести к необратимой утрате функций;
- Современные технологии и опытные нейрохирурги позволяют выполнять операции на позвоночнике с высоким уровнем безопасности в любом возрасте;
- Командная работа и симультанная тактика существенно улучшают прогноз и сокращают риски, особенно в сложных клинических ситуациях.
Поэтому при первых же симптомах, таких как слабость в ногах, онемение, нарушение координации или проблемы с мочеиспусканием, необходимо срочно обратиться к нейрохирургу онкологу. Только специалист с большим опытом в нейроонкологии может правильно определить тактику лечения.
В нашей практике операции на позвоночнике, даже в самых сложных случаях, проводятся с применением передовых методов и оборудования. Современная нейрохирургия предлагает безопасные и эффективные решения даже для пациентов старшей возрастной группы, для которых время — это главный фактор успеха.
Автор: врач-нейрохирург Владимир Тен Денисович.
